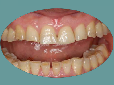
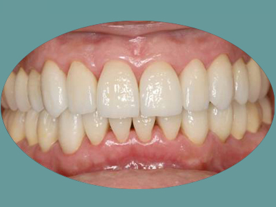
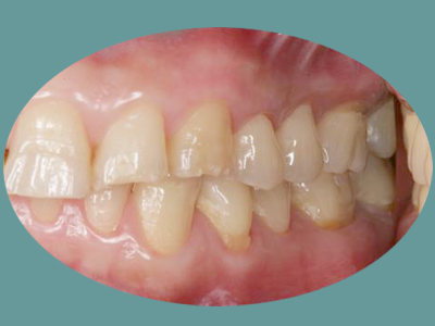
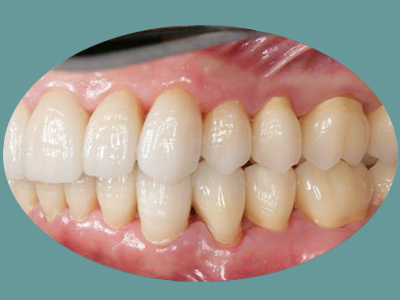
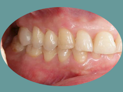
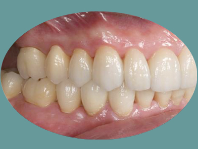
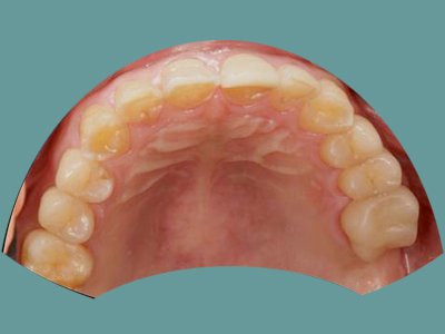
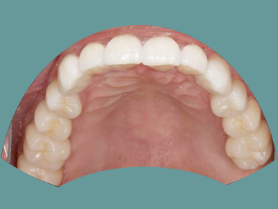
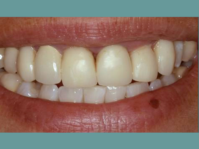
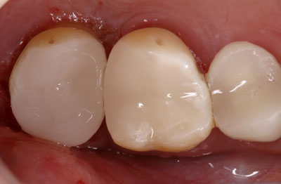
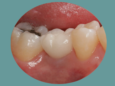
Custom fabricated materials can be crafted to replace defects in your tooth resulting from cavities. These materials can restore teeth to their original size, color, and shape. The material can also be fabricated to replace a missing tooth, allowing a patient to maintain aesthetics and function without the need for a removable denture. Whether you need a filling, crown, bridge, partial or complete denture, Regents Dental Group can replace missing tooth structure or missing teeth in a metal-free, functional and cosmetic manner.


















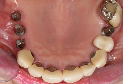
Dental implants are fixtures of titanium which are surgically screwed into your jaw bone. The implant is an anchor for a naturally-appearing false tooth or a set of false teeth. The success rate of dental implants depends on where the implants are placed and their purpose. They are typically best placed in the front portion of your lower jaw. Implants are great for replacing missing teeth.
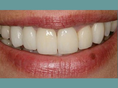
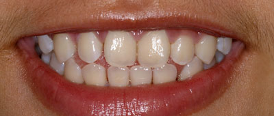
Several teeth whitening options are currently available through Regents Dental Group. Our office can get your teeth the whitest and brightest they can be. In-office power whitening techniques utilize state-of-the-art technology to activate special whitening compounds that are applied to the surface of your teeth. In-office procedures can provide you with a whiter, brighter smile in less than one hour.
Invisalign® is the invisible way to straighten your teeth without braces. Invisalign® uses a series of clear removable aligners (pictured to the left) to straighten your teeth without metal wires or brackets. You wear each set of aligners for about 2 weeks, removing them only to eat, drink, brush, and floss.
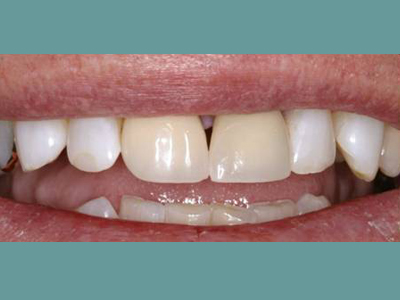
CEREC technology is the world's only system for the fabrication of all ceramic dental restorations. You can be in and out in a single visit with a permanent, all ceramic crown, onlay, or veneer. What this means to you is fewer injections, less drilling, and less time out of your hectic schedule for dental care.
Regents Dental Group is one of San Diego's most experienced group of well-respected general, periodontal and cosmetic dentists. For over 20 years, our friendly staff has been committed to helping improve oral hygiene and aesthetics in order to enhance patient health and appearance.